Lentes de contato e facetas de resina

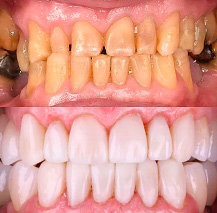
Quem busca um sorriso mais bonito e harmônico encontra na odontologia estética duas soluções consagradas: as facetas de resina composta e as lentes de contato de porcelana. Ambas transformam a forma, a cor e diversas imperfeições dos dentes, mas cada uma tem suas particularidades. A Doutora Joice Locatelli é especialista em Dentística – estética dentária – pela Associação Brasileira de Odontologia há 10 anos e a isso se somam cursos com profissionais de renome internacional da estética odontológica, como Arbex Filho e Felipe Bezerra.

Na Odontologia Busatto você vai ter acesso a ambos os procedimentos, podendo optar por aquele mais adequado às suas demandas estéticas, funcionais e a sua realidade financeira. É muito comum que alguns profissionais coloquem as facetas de resina como um ‘procedimento inferior’ – a verdade é que por serem feitas diretamente na boca, pelo dentista, elas exigem uma capacidade técnica muito maior, de forma que são poucos os profissionais capazes de alcançar, com as resinas, um resultado equivalente às porcelanas.

A Doutora Joice tem essa capacidade e, com ela, podemos optar inclusive por procedimentos combinados, quando dentes que recebem maior pressão na mastigação são feitos com porcelanas, enquanto os dentes anteriores (da frente) podem ser feitos com resina, alcançando um resultado incrível. Em ambas as técnicas priorizamos DESGASTE DENTÁRIO MÍNIMO, preservando o máximo de estrutura dentária.

Como funcionam as Lentes de Contato de porcelana: Nesse caso o paciente vem para uma primeira consulta em que seus dentes são preparados. Nessa consulta escaneamos o paciente para envio ao protético e instalamos provisórios. Depois, em uma segunda consulta, o paciente retorna para cimentar suas lentes sobre os dentes. Utilizamos cerâmica pura de alta estética e resistência e cimentos de primeira linha.

Vantagens: estética impecável, resistência elevada, estabilidade de brilho e cor.
Limitações: custo mais elevado e necessidade de maior número de consultas.

Como funcionam as Facetas de Resina: São feitas em uma única consulta diretamente sobre os seus dentes. Não há necessidade de escaneamento ou moldagem, nem de uso de provisórios. O paciente inicia e finaliza o procedimento na mesma consulta. Utilizamos fotopolimerizador Valo, resinas japonesas, e pontas de polimento americanas – os melhores do mercado.

Vantagens: estética igual a das lentes de porcelana, resultado em sessão única, custo reduzido.
Limitações: resistência um pouco menor, porém suficiente para grande durabilidade na maioria dos casos, e necessidade de manutenção anual (polimento para manutenção do brilho e cor)

Lentes em porcelana
Resinas e Porcelanas – combinado
Facetas em Resina

Na Busatto o melhor sorriso
sempre está ao seu alcance!

Perguntas frequentes

Quanto tempo dura o resultado tratamento?
Esse resultado é variável de acordo com fatores individuais e o cuidado de cada paciente, porém as facetas em resina podem durar de 5 até 10 anos, enquanto as lentes em porcelana apresentam durabilidade maior, de até 20 a 25 anos.

É necessário manutenção?
É necessário retornar ao dentista anualmente para revisão das lentes e semestralmente para as de resina, sendo que estas precisam de polimento a cada revisão.

É possível combinar facetas de resina com lentes de contato?
Sim, desde que bem planejado e executado pelo profissional.

É necessário desgastar os dentes para realizar o tratamento?
Nem sempre. Geralmente são realizados desgastes mínimos, exceto quando há grande escurecimento dos dentes, quando pode ser necessário um desgaste seletivo um pouco maior.

O tratamento leva muito tempo?
As facetas de resina são feitas em sessão única. As lentes em 2 a 3 sessões com tempo de no máximo 15 dias entre a consulta inicial e a entrega final.

Veja mais casos realizados pela Clínica Busatto

Compartilhe esse post

O cuidado que você precisa, com a atenção que sua saúde merece

Aqui, cada tratamento é pensado com responsabilidade,
empatia e excelência técnica.

Amplie sua confiança em quem entende que saúde vai
além de um sorriso bonito.

Desenvolvido por

© Busatto Odontologia todos os direitos reservados.

Política de Privacidade