Aqui vamos explicar tudo sobre os sisos e te tranquilizar para que você possa realizar suas extrações sem maiores preocupações e entendendo os motivos de faze-las.
Os terceiros molares, mais conhecidos como sisos, são os últimos dentes a se formarem e erupcionarem na boca — normalmente entre os 17 e 25 anos de idade, porém isso pode variar bastante. Além disso, nem todas as pessoas possuem os quatro sisos. É completamente normal ter apenas um, dois ou três, ou até mesmo nenhum dos terceiros molares. Essa variação está relacionada à evolução da espécie humana: com o passar dos séculos e mudanças na alimentação e no desenvolvimento das arcadas dentárias, a presença dos terceiros molares se tornou menos necessária, e muitas vezes o espaço para sua erupção tornou-se limitado, de forma que atualmente sua presença em geral é mais incômoda do que útil.
De que forma os sisos podem se apresentar e como isso influencia no procedimento?
Os sisos podem se apresentar em diversas formas, sendo as mais comuns ERUPCIONADOS, INCLUSOS ou IMPACTADOS.
• Dentes erupcionados são aqueles que nasceram e estão visíveis na boca, podendo ou não estar em posição funcional adequada;
• Dentes inclusos são os que ainda estão totalmente dentro do osso e da gengiva, sem sinais de erupção;
• Dentes impactados são aqueles que iniciaram a erupção, mas ficaram “presos” por falta de espaço, posição inadequada ou obstrução por outros dentes ou estruturas.
Cada situação pode gerar diferentes complicações: dentes erupcionados mal posicionados podem dificultar a higienização desenvolvendo cáries e inflamações gengivais, além de causar traumas na mucosa por mordiscamento; os impactados podem causar dor, infecções (como a pericoronarite), cistos ou reabsorção da raiz dos dentes vizinhos; os inclusos, apesar de muitas vezes assintomáticos, devem ser monitorados, pois também podem desenvolver lesões císticas ou causar desalinhamento dentário ao longo do tempo.
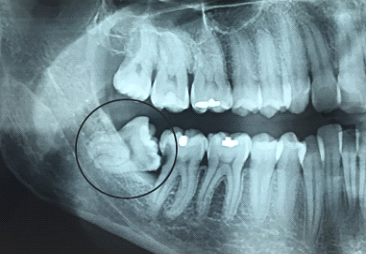
Na imagem abaixo vemos um siso impactado,
gerando cárie no Segundo Molar a sua frente, com evidente indicação de extração:

Na imagem abaixo temos os sisos superiores inclusos e os inferiores erupcionados,
porém com falta de espaço e indicação de extração, mesmo que apareçam em boca:

Na imagem abaixo vemos sisos inclusos na arcada superior e inferior, sendo que
o inferior está associado a uma formação cística. Ambos demandam extração:

E quando o siso pode ficar?
Nem todo siso precisa ser extraído. Se ele estiver bem posicionado, com espaço adequado, não causar dor ou inflamação e permitir uma higienização eficaz, pode ser mantido sem problemas. Nesses casos, o acompanhamento periódico com o dentista é essencial para garantir que o dente não trará prejuízos futuros.
Mas se alguns dentes podem permanecer por que o dentista pode sugerir tirar dois sisos de uma vez mesmo que um deles pareça estar bem? É comum o dentista recomendar a extração de dois sisos do mesmo lado da boca — o superior e o inferior — mesmo que apenas um esteja incomodando. Isso ocorre porque os dentes buscam oclusão: o contato entre os arcos opostos. Se um dente for extraído e seu antagonista for mantido, ele pode extruir, ou seja, sair do osso, em busca desse contato, resultando em desalinhamento da mordida, traumas na gengiva ou mucosa, dificuldade de higienização e necessidade futura de extração mais complexa. Portanto, extrair ambos do mesmo lado pode ser uma medida preventiva eficaz para manter o equilíbrio da mordida .
Quantos sisos podem ser extraídos de uma vez?
Existem três abordagens principais:
• Um dente por vez, geralmente em casos isolados ou quando o paciente prefere cirurgias mais leves;
• Por hemiarco (superior e inferior do mesmo lado), permitindo uma recuperação mais confortável em apenas um lado da boca;
• Os quatro de uma vez, uma alternativa válida para quem deseja resolver tudo em um único procedimento.
Essa decisão depende de fatores clínicos e da preferência do paciente, considerando tempo de recuperação, complexidade e saúde geral. Apesar de não existir uma contraindicação absoluta em extrair todos os sisos de uma vez, o caso deve ser bem planejado entre dentista e paciente.
Como é a cirurgia e o pós-operatório?
A complexidade da cirurgia de extração varia bastante. Dentes que estão parcialmente erupcionados ou em posição horizontal, próximos ao nervo alveolar inferior ou com cáries profundas, podem demandar procedimentos mais delicados, como osteotomias (remoção de osso) e odontossecções (corte do dente em partes) para facilitar a remoção e evitar danos a estruturas próximas [4].
Via de regra, as extrações dos sisos inferiores tendem a ser mais complexas do que as dos superiores, pois a mandíbula é mais densa e o acesso é mais difícil. Além disso, a relação com o nervo alveolar inferior exige atenção redobrada para evitar complicações.
O pós-operatório costuma incluir: repouso de 2 a 5 dias; dieta líquida e pastosa nos primeiros dias; uso de medicamentos como antibióticos, anti-inflamatórios, analgésicos e, em alguns casos, corticoids, além de bochechos para higienização conforme indicação do dentista; aplicação de compressas frias para reduzir edemas e hematomas (que são comuns e esperados); evitar esforço físico, calor local e exposição solar excessiva nos primeiros dias.
Seguindo essas orientações, o processo de cicatrização tende a ocorrer sem grandes intercorrências.
E as complicações mais comuns?
Apesar de ser uma cirurgia rotineira, algumas complicações podem acontecer. As mais comuns são:
• Edema e hematoma (inchaço e manchas roxas), que tendem a regredir naturalmente;
• Parestesia transitória, quando há dormência temporária nos lábios ou língua, geralmente causada pela proximidade com o nervo alveolar inferior;
• Dor pós-operatória moderada, que costuma responder bem aos medicamentos;
• Infecções locais, especialmente se a higiene bucal não for adequada;
• Necessidade de reintervenções, quando fragmentos radiculares permanecem ou se formam alvéolos secos (infecção do coágulo);
A coronectomia planejada é uma alternativa prevista na literatura para casos de dentes com relação íntima ao nervo alveolar inferior, onde apenas a coroa é removida e as raízes são mantidas, minimizando o risco de lesão nervosa permanente [5]. Essa decisão deve ser pautada em exames de imagem, especialmente tomografias.
A extração dos sisos é uma das cirurgias mais comuns na odontologia e, quando bem indicada, pode prevenir complicações importantes no futuro. Cada caso é único, e a decisão pela remoção — seja de um, dois ou quatro dentes — deve sempre ser tomada após avaliação clínica e radiográfica, com planejamento e acompanhamento profissional adequado. Mais do que simplesmente “tirar um dente”, trata-se de um cuidado integral com a saúde buccal.
