O tratamento de canal bem explicado,
como você nunca viu
Quando falamos em tratamento de canal, muitas pessoas ainda associam o procedimento à dor, medo e longas sessões. Mas a verdade é que a endodontia moderna evoluiu muito — tanto na tecnologia quanto no conforto do paciente. Para entender quando e por que o tratamento de canal é necessário, precisamos começar do começo: o que é o canal do dente?

O que é o canal do dente?
canal do dente é a parte mais interna e viva do dente, conhecida tecnicamente como polpa dentária. É nessa região que ficam os vasos sanguíneos e os nervos, responsáveis pela nutrição do dente e pela sensibilidade a estímulos como frio, calor e dor (TORABINEJAD; WALTON, 2015).
Quando o dente sofre uma agressão, seja por uma cárie profunda, uma fratura, um trauma ou até por restaurações extensas, essa polpa pode inflamar (pulpite) ou até morrer (necrose pulpar). Nessas situações, o organismo não consegue mais se recuperar sozinho, tornando o tratamento de canal indispensável para preservar o dente (HARGREAVES; BERMAN, 2016).
Cada pessoa sente de um jeito diferente
Um ponto muito importante — e que causa confusão em muitos pacientes — é que nem todo problema de canal dói da mesma forma.
Algumas pessoas sentem dores leves e intermitentes, enquanto outras podem apresentar dores intensas, pulsáteis e difíceis de controlar. Há ainda casos em que o paciente não sente dor nenhuma, mas percebe sinais como um escurecimento isolado do dente, indicando morte do tecido pulpar (ESTRELA et al., 2014).
Outros quadros comuns incluem:
⦁ Sensibilidade ao frio ou ao calor, que pode durar segundos ou minutos;
⦁ Dor ao mastigar;
⦁ Desconforto espontâneo, sem estímulo;
⦁ E, nos casos mais avançados, inchaço, inflamação com drenagem de pus (abscesso) e aumento de volume facial significativo (COHEN; HARGREAVES, 2011).
Tudo isso reforça que a ausência de dor não significa ausência de problema.
Como funciona o tratamento de canal?
O tratamento de canal tem como objetivo eliminar a infecção, aliviar a dor (quando presente) e manter o dente em boca. O procedimento segue etapas muito bem definidas e seguras.
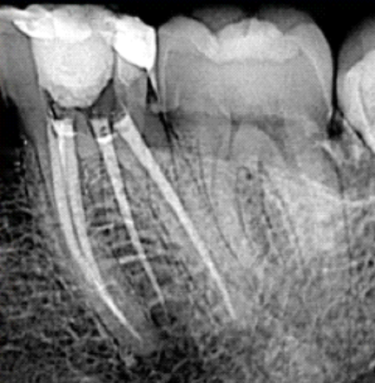
Primeiro, o dente é acessado internamente. Em seguida, todo o tecido inflamado ou necrosado é removido, e os canais são cuidadosamente limpos e modelados. Durante esse processo, utilizam-se soluções antissépticas para eliminar bactérias e resíduos orgânicos (SIQUEIRA; RÔÇAS, 2009).
Após a limpeza, os canais são vedados com um material obturador flexível, geralmente à base de guta-percha, que impede a recontaminação. Por fim, o dente é reconstruído, devolvendo função e estética ao sorriso (TORABINEJAD; WALTON, 2015).

Antigamente, o tratamento de canal era mais demorado, desconfortável e frequentemente exigia várias sessões. Hoje, graças à endodontia mecanizada, com uso de instrumentos rotatórios, localizadores apicais eletrônicos e técnicas modernas de irrigação, a maioria dos casos pode ser resolvida de forma rápida, segura e confortável, muitas vezes em uma única sessão (PETERS; PAQUÉ, 2010).

Na Clínica Busatto, você pode realizar seu tratamento de canal com o Dr. José Busatto, com anos de experiência clínica, ou com o Dr. Luís Eduardo Busatto, nosso especialista em endodontia, que atua com tecnologia de ponta e protocolos modernos, tornando o procedimento muito mais tranquilo para o paciente.

Reconstrução do dente: cada caso é único
A forma como o dente será reconstruído após o canal depende diretamente do grau de destruição dentária.
Em casos mais simples, uma restauração direta pode ser suficiente. Em situações intermediárias, indicam-se restaurações indiretas, como onlays ou overlays. Já em dentes muito comprometidos, pode ser necessário o uso de pinos intracanais associados a próteses fixas (coroas), garantindo resistência e longevidade ao dente tratado (HARGREAVES; BERMAN, 2016).
Nem todo canal é igual
Cada tratamento de canal é único. Existem dentes com apenas um canal, enquanto outros — especialmente pré-molares e molares — podem apresentar dois, três, quatro ou até mais canais, o que aumenta a complexidade do procedimento (VERTUCCI, 2005).
De forma geral:
⦁ Dentes com canal único costumam ser tratados em sessões de até 50 minutos;
⦁ Casos mais complexos podem levar até 2 horas e meia,
dependendo da anatomia e da presença de infecção.
Em algumas situações específicas, pode ser necessária medicação pré ou pós-operatória, sempre avaliada individualmente pelo profissional.

Por que tratar mesmo sem dor?
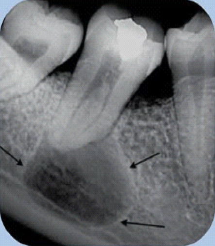
Mesmo quando o paciente não apresenta sintomas, o tratamento de canal pode ser necessário. Infecções pulpares podem evoluir de forma silenciosa, formando lesões na ponta da raiz, que comprometem o osso ao redor do dente e podem afetar dentes vizinhos (ESTRELA et al., 2014).
Quando essas lesões evoluem, o tratamento se torna mais complexo, podendo exigir cirurgias maiores, com maior custo, maior dificuldade técnica e tempo de recuperação mais prolongado. Por isso, o diagnóstico precoce e o tratamento adequado são fundamentais para evitar complicações.

Atendimento especializado
faz toda a diferença
A endodontia é uma das áreas mais técnicas da odontologia. Um diagnóstico correto e um tratamento bem executado dependem de conhecimento, experiência e tecnologia adequada.
Na Clínica Busatto, você encontra um atendimento diferenciado, focado em segurança, conforto e resultados duradouros.
Se você precisa de tratamento de canal ou tem dúvidas sobre a saúde dos seus dentes, procure a gente. Estamos prontos para cuidar do seu sorriso com responsabilidade, técnica e acolhimento.
Perguntas frequentes
O que é o canal e por qual motivo preciso tratar?
O canal é um espaço dentro do dente que o faz vivo, com vasos e nervos. Quando ocorre uma agressão, por cárie ou trauma, esse tecido inflama ou necrosa e precisa ser retirado, limpo e selado.
O tratamento de canal dói?
Em casos onde o paciente vem com dor, o início do tratamento pode ser mais delicado, mas assim que adequadamente anestesiado, o procedimento passa a ser indolor.
São necessárias muitas sessões?
Atualmente, utilizando técnicas modernas, muitos tratamentos podem ser feitos em sessão única. Eventualmente são necessárias duas sessões, sendo raros tratamentos mais prolongados.
A restauração está incluída no tratamento?
O tratamento de canal inclui um selamento provisório, a restauração é cobrada a parte e pode variar de acordo com o nível de comprometimento do dente, indo desde uma restauração simples, até restaurações indiretas e próteses mais complexas.
Meu dente não dói; preciso tratar o canal mesmo assim?
Se o problema de canal foi detectado precisa ser realizado o tratamento mesmo sem dor, pois um canal não tratado é foco de infecção, podendo gerar lesões que comprometam esse dente e até os dentes vizinhos, levando a necessidade de implantes e por vezes cirurgias maiores.
