
Os aparelhos ortodônticos são utilizados para alinhar os dentes por meio de forças lentas, contínuas e cuidadosamente planejadas para cada...

Os aparelhos ortodônticos são utilizados para alinhar os dentes por meio de forças lentas, contínuas e cuidadosamente planejadas para cada...

Você sabia que na Clínica Busatto trabalhamos com convênios? Isso mesmo, aqui você pode desfrutar de diversos tratamentos exclusivos, com...

O tratamento de canal bem explicado,como você nunca viu Quando falamos em tratamento de canal, muitas pessoas ainda associam o...

Prótese fixa com implantes – mais segurança, conforto e confiança para sorrir Você tem dificuldade para mastigar, sente insegurança ao...

O que é a profilaxia odontológica? A profilaxia é um procedimento preventivo que visa remover a placa bacteriana, os biofilmes...

O Blog da Clínica Busatto de hoje é sobre Clareamento Dentário. Você já pensou em clarear seus dentes? Conhece as opções...

Quem busca um sorriso mais bonito e harmônico encontra na odontologia estética duas soluções consagradas: as facetas de resina composta...

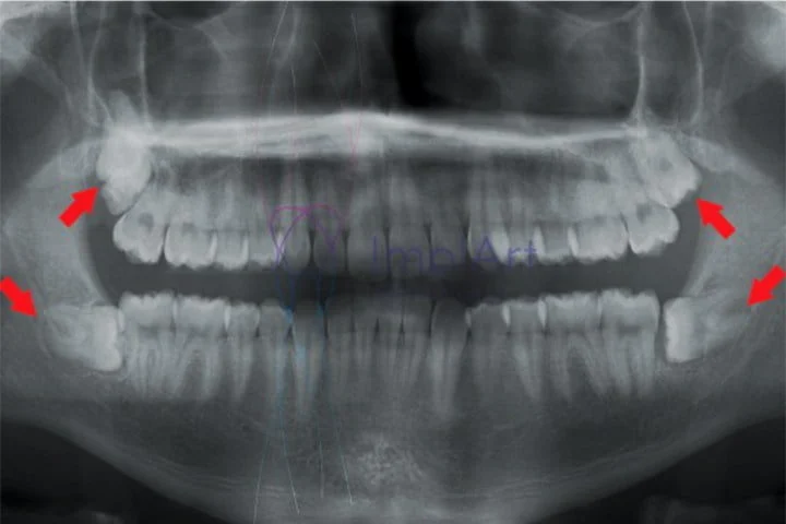
Aqui vamos explicar tudo sobre os sisos e te tranquilizar para que você possa realizar suas extrações sem maiores preocupações...