Aparelhos Ortodônticos – do fixo ao invisível

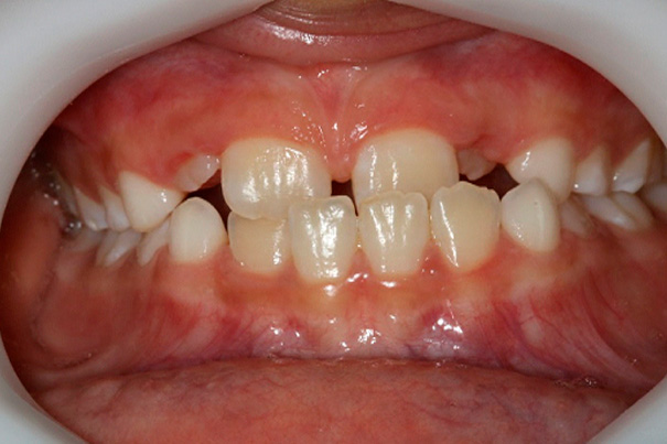
Os aparelhos ortodônticos são utilizados para alinhar os dentes por meio de forças lentas, contínuas e cuidadosamente planejadas para cada paciente. A Ortodontia é um tratamento complexo, que exige alto conhecimento técnico e biológico, já que movimentações mal planejadas podem comprometer a saúde e a longevidade dos dentes.

Por isso, não existe tratamento padrão. Cada caso é avaliado individualmente, considerando os objetivos do paciente, o que é biologicamente possível, o tempo necessário e as melhores alternativas disponíveis.

Antes do início do tratamento, é fundamental que a saúde bucal esteja em dia. Quando necessário, realizamos previamente limpeza, restaurações, tratamentos de canal ou extrações, garantindo segurança desde o primeiro passo. Em casos de perdas dentárias, o planejamento define se os espaços serão fechados com o aparelho ou mantidos para próteses ou implantes futuros. Já pacientes com discrepâncias ósseas entre maxila e mandíbula podem precisar de Ortodontia associada à cirurgia ortognática.

Na Clínica Busatto, todo esse cuidado é feito de forma integrada, com uma equipe completa de especialistas em Ortodontia, Estética Dental, Cirurgia, Implantes e Endodontia, assegurando excelência em todas as etapas do tratamento.

Tipos de aparelhos ortodônticos

Aparelhos fixos

Podem ser metálicos convencionais, autoligados ou estéticos (porcelana ou safira). Cada modelo possui indicações específicas, variando em estética, conforto, tempo de tratamento e custo-benefício.


Aparelhos ortopédicos

Indicados principalmente para crianças, auxiliam no crescimento ósseo, na respiração e na correção da mordida. Quando utilizados no momento certo, podem reduzir a complexidade do tratamento futuro e até evitar cirurgias.


Aparelhos invisíveis (alinhadores)

Utilizam placas transparentes removíveis, planejadas digitalmente, que permitem visualizar o resultado antes mesmo do início do tratamento. São discretos, confortáveis, facilitam a higiene e oferecem maior previsibilidade de tempo e custos. Trabalhamos com alinhadores de alta qualidade, escolhidos sempre com base em planejamento criterioso e segurança clínica.

Aparelhos móveis

Hoje possuem indicações mais específicas, sendo utilizados como auxiliares em determinadas fases do tratamento ou como contenções após o término da Ortodontia.


Uma solução feita para você

Na Clínica Busatto, acreditamos que cada sorriso é único. Por isso, apresentamos todas as possibilidades de forma clara, transparente e personalizada, sempre com profissionais experientes e planejamento individualizado.

Agende sua consulta com a Dra Alana Menosso, nossa especialista em ortodontia, e descubra qual é o melhor tipo de aparelho para o seu caso. Será um prazer cuidar de você e do seu sorriso!

Compartilhe esse post

O cuidado que você precisa, com a atenção que sua saúde merece

Aqui, cada tratamento é pensado com responsabilidade,
empatia e excelência técnica.

Amplie sua confiança em quem entende que saúde vai
além de um sorriso bonito.

Desenvolvido por

© Busatto Odontologia todos os direitos reservados.

Política de Privacidade